Dataset chirurgico di alta qualità
Algoritmi addestrati su immagini di alta qualità.
IntusAI addestra le reti ViC su un dataset multicentrico con oltre 2.600 TAC addominali e toraciche annotate. L'alta qualità delle immagini garantisce risultati affidabili in termini di segmentazione, visualizzazione e supporto decisionale nei flussi chirurgici.


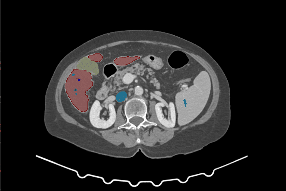
Una breve serie di slice provenienti da un caso segmentato automaticamente da ViC: scorri per vedere come le nostre reti segmentano organi, vasi e masse.
Prestazioni ViC basate sui dati
I nostri modelli di segmentazione si basano su immagini ad alta qualità e grandi volumi di dati. Questo approccio rende ViC una piattaforma affidabile per AI training, radiomica e validazione clinica.
- Dataset - TAC di alta qualità
- > 2.600 annotate
- Strutture ricostruite
- >10 classi anatomiche
- DICE medio
- 0,85 di media sulle ricostruzioni ViC
- Tempo di predizione
- < 5 minuti
Manteniamo un ciclo di miglioramento continuo attraverso nuove collaborazioni cliniche che ampliano periodicamente il dataset.
Basato su fonti affidabili, perfezionato dal nostro team
Abbiamo selezionato 20 casi dal dataset originale IRCAD e li abbiamo sottoposti a una revisione manuale completa, correggendo le segmentazioni e migliorandone la coerenza anatomica. Il risultato è un dataset più accurato, più pulito e pronto all’uso, ideale come riferimento affidabile.
Rendiamo il dataset corretto direttamente accessibile agli utenti, così da poterlo utilizzare in attività di ricerca, sviluppo, training e validazione.
Scarica il Dataset
